皆さんこんにちは!
仲町歯科医院院長の義永です。
今週のプレオルソお友達を紹介します。
RMさん 7歳


この一年間プレオルソをしっかり使ってくれました。 今回 TYPEⅠSサイズソフトにサイズアップです。
下顎前歯も上顎前歯もきれいな形になってきました。ただ犬歯のスペースがまだ足りません。拡大のためこの一年また頑張りましょう。
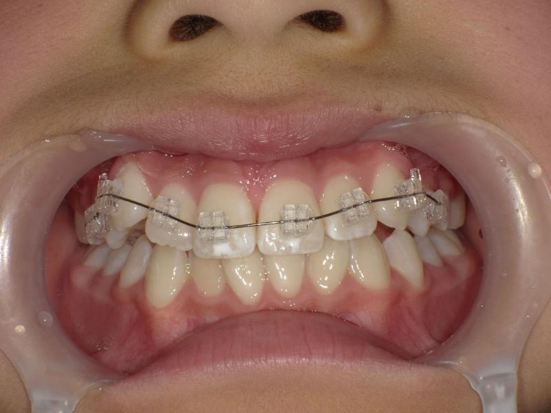
CMさん10歳


乳歯も全部永久歯に生え替わりました。そろそろ矯正治療も終了です。ですけど糸切り歯がまだ気になります。

ここからは金具を貼り付けて、最終仕上げをしていきます。
金属だと目立つということで、サファイアのブラケットを選択。

最終的にそろうまで頑張ってくださいね。
なお写真はお母様の許可を得て、掲載させていただいています。
プレオルソについてはこちらをクリック
















