皆さんこんにちは!
周智郡森町 仲町歯科医院院長の義永です。
プレオルソ予防矯正のお友達から、また一人、卒業生が生まれました。
ROさん 11歳

お母さんと袋井市から4年間、通ってくれました。
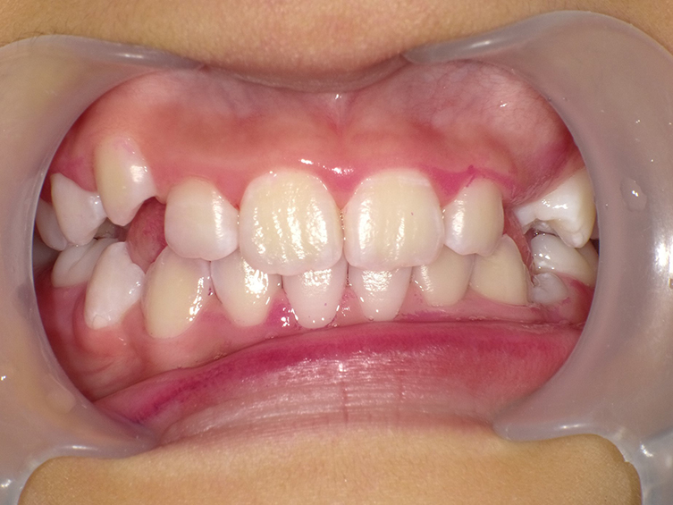
最初の時がこれ

もともと顎が小さく、虫歯のせいで、永久歯もずれ込んでいました。毎日コツコツとプレオルソを使ってくれて……


左上の糸切り歯が最後の難関。この歯もどうにか落ち着いてくれました。

心配していた針金も使わずにすみました。本当によく頑張りましたね。
これなら口元に自信を持って暮らせるでしょう。
私も嬉しく思います。
きれいな歯並びに貢献できることは歯医者にとっても、最高の幸せです。
最後に二人で 記念撮影!

なお写真は、お母様の承諾を得て掲載しています。
プレオルソ動画あります。こちらをクリック
















